
牙齒填補後時間久了
往往會出現變黑變黃的狀況
這樣該怎麼辦呢
鄭胤捷 發表在 痞客邦 留言(0) 人氣(10,251)

當牙齒有神經壞死或根管治療久了
就會出現明顯的色差 時間越久
顏色會越暗 這時候該怎麼辦呢
鄭胤捷 發表在 痞客邦 留言(0) 人氣(1,102)

有時候假牙做久了
靠近牙肉的地方會露出黑邊
這是怎麼回事呢
有沒有辦法改善呢
鄭胤捷 發表在 痞客邦 留言(0) 人氣(4,765)

[醫生我有敏感性牙齒怎麼辦? 需要用抗敏感牙膏嗎?]
好像幾年前 隨著某些抗敏感牙膏的廣告不斷播送
在門診這樣的問題也增多了
牙齒敏感要怎麼辦呢
鄭胤捷 發表在 痞客邦 留言(0) 人氣(953)
早期的銀粉填補
美觀性不好
且磨掉的牙齒也多 一但發生蛀牙
鄭胤捷 發表在 痞客邦 留言(2) 人氣(1,950)

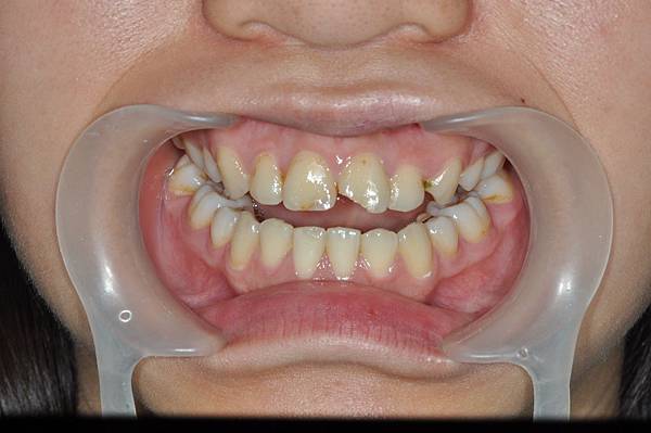
新竹來高雄念書的C同學 把門牙給撞斷了
第一時間求助於鄭醫師 經過診察
輕微敏感但還沒有傷到神經
鄭胤捷 發表在 痞客邦 留言(0) 人氣(1,364)

噴砂美白能安全快速去除牙齒表面垢漬
主要功能為去除菸垢 茶垢 咖啡垢 黃垢
能讓牙齒原本的
白色透明度顯現出來
鄭胤捷 發表在 痞客邦 留言(0) 人氣(5,627)